



患者男性,62岁,胆囊癌术后,肝脏多发转移灶、阻塞性黄疸、肝门部胆管受压、肝内胆管重度扩张。普外科欲行经皮经肝胆管引流,来我功能检查科超声定位。
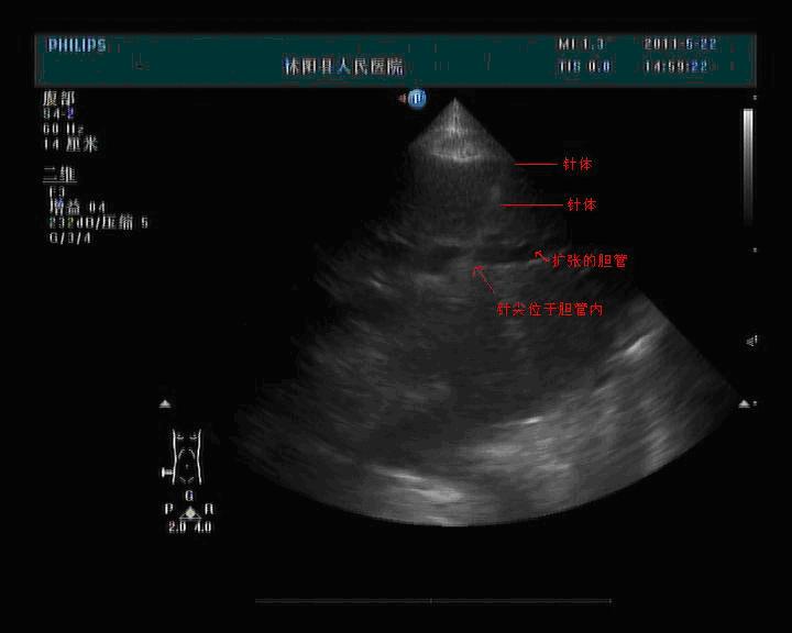
患者平卧位,常规超声检查、体表定位,消毒、铺巾、局麻、超声实时引导下进针,超声清晰的看到针体走行,当针尖到达胆管内后停止进针,导管连接的注射器内可见胆汁流出。此过程中患者无不适,超声检查胆管周围无血肿、积液等超声征象,遂结束超声引导。
超声实时引导以往都是用专用穿刺探头或穿刺引导器来完成,现我科在无专用穿刺探头及穿刺引导器情况下成功开展超声实时观察引导,避免以前盲穿而引起的未到达目标部位以及出血等并发症。
另我科已成功购买EV引流针(肝、肾囊肿,盆腔囊肿硬化治疗),酒精治疗针(肿瘤介入治疗)和浅表肿块穿刺活检针,望临床科室前来合作。联系人:孙满红13951592338,费正东13641510348。
图1:超声清晰显示针体及针尖方向,针尖位于胆管内。

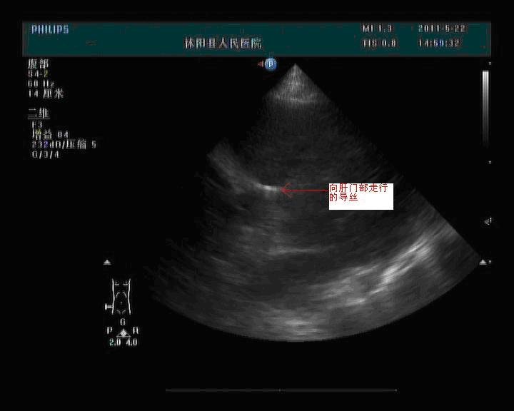
图2、超声清楚的看到导丝沿左肝内胆管向肝门部胆管走行。

上一篇:坚持获得新生命